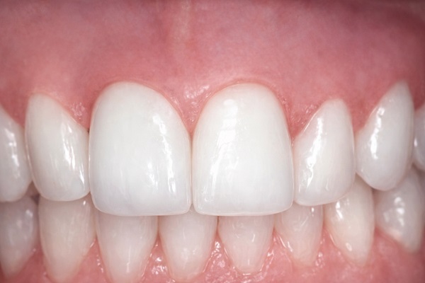
En cas de perte d’une seule dent, la solution la meilleure est la pose d’un implant sur lequel une couronne est fixée. Elle a l’aspect et les fonctionnalités équivalentes à celles des dents naturelles. Il existe également d’autres solutions de traitements comme le bridge scellé sur dents naturelles ou l’appareil amovible mais ces solutions peuvent provoquer une aggravation de la perte osseuse et dentaire. Avec la couronne sur implants, les dents voisines ne sont pas touchées et l’os sera préservé.
Avantage de la prothèse complète sur implant
- Aspect, sensation et performance d’une dent naturelle
- Pas de délabrement des dents voisines
- Remplace la dent manquante en maintenant l’os existant
AVANT![]() | APRÈS![]() |
- Soins d’hygiéne identique à ceux d’une dent naturelle
- Redonne l’efficacité d’une mastication naturelle
Les différents traitements
Options avec des traitements traditionnels
Bridge sur dents naturelles : Les dents saines de chaque côté de la dent absente sont meulées pour soutenir un bridge. |
Appareil amovible partiel : Ce type de prothèse peut entraîner une aggravation de la perte osseuse. |
Options avec une couronne sur implants
![]() | Couronne sur implants : Ce type de prothèse préserve l’os et la gencive, ce qui permet de retrouver l’aspect naturel de la dent manquante. |
Les étapes de traitements
Examen Avant l’intervention |
Mise en place des implants Le chirurgien pose les implants dans |
Fixation de la nouvelle prothèse |
Le résultat |








